CBIS LM Core: Leica STELLARIS 8 FALCON (upright)
STELLARIS 8 FALCON
LEICA
The STELLARIS 8 FALCON is an upright confocal point scanning system with FLIM, using a White Light Laser with pulse picker as excitation light source and a highly sensitive, prism-based spectral detection with adjustable bandwidth, to offer flexibility in both choosing excitation wavelength and defining emission range.
Location: CBIS Light Microscopy Core (S1A #01-09 CBIS lab)
Booked CBIS equipment before? Information for first-time users
About the instrument
STELLARIS 8 white light laser (WLL) is a pulsed excitation light source, ranged from 440 to 790 nm to allow a perfect match to peak excitation of fluorophores to ensure lowest laser exposure. Together with the spectral detection, the WLL allows recording of two-dimensional excitation-emission spectra.
The tandem scanning system for STELLARIS allows user to switch between resonant and galvanometric scanners for high speed and high-resolution imaging respectively.

STELLARIS’ TauSense offers a lifetime-based tool set that provides additional information in qualitative or semi-quantitative manner; using gate-based technology and mean average arrival time. It gives access to functional imaging, allows to remove undesired signal contribution, and enables to separate spectrally overlapping fluorophores.
For the most demanding fluorescence lifetime imaging requirements, the FALCON (FAst Lifetime CONtrast) module offers the latest FLIM-FRET technology for revealing subtle spatial variations and ultrafast temporal dynamics.


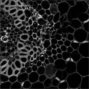
Normal confocal image (top) and fluorescence lifetime map (bottom) of autofluorescent Convallaria section.
CBIS user guides
- quick start
- bright-field/DIC
- stage configuration
- manual XY stage
- stage scan
- FALCON quick start
- comprehensive FLIM guide
- manufacturer’s user manual
Features
- Microscope: upright Leica DM6 CFS, with STP8000 remote control touch screen for controlling all microscope features
-
- Bright field light Source: 12V 100W halogen lamp
- Fluorescence blocks (5 positions)
- Ti Filter A (blue), GFP (Green), N21 (Red)
- External fluorescence excitation light source: Leica EL6000
- Objectives:
- Six position nosepieces
- HC PL APO CS 10x/0.4 dry
- HC PL Apo 20x/0.7 Imm (multi-immersion, H2O, Oil, Glycerol)
- HC PL APO CS 63x/1.2 H2O Corr (for coverslip)
- HC APO L U-V-I CS2 63x/0.9 dipping, WD 2200um, resolution (488nm) xy: 216.89um, Z: 626.06um
- HC PL Apo CS2 100x/1.4 Oil
- Single position nosepiece:
- HCX APO L 20x/1.0 w lens
- Six position nosepieces
- Objective travel range: 12mm
- Stage: Scanningstage CFS flat: Travel range: 130 x 73 mm, x symmetrical and y asymmetrical; Repeatability: < 1 μm; Accuracy: +/- 3 μm
- Sample holder: universal sample holder
- Laser:
- STELLARIS 8 White Laser Light (Supercom):
- Pulsed excitation light source from 440 to 790 nm, up 8 single lines can be freely selected and used simultaneously
- Freely tunable in steps of 1 nm
- Laser power per line: 440 nm > 1.1 mW; 488 nm > 1.6 mW; 560 nm > 2.0 mW; 630nm > 2.6 mW; 790 nm > 3.5 mW
- Pulse frequency 78 MHZ
- Diode 405 DMOD: 50mW
- STELLARIS 8 White Laser Light (Supercom):
- Scanner: 8 kHz Tandem Scanner STELLARIS 8
- Detectors: Power HyD Sx2, in position 3 and 2
- Workstation: CUDA Workstation Premium
- Software: LAS X STELLARIS Control Software, including:
- TauSense
- TauContrast: Instant access to average arrival time and intensity information
- TauGating, GateScan: Differentiate between desired and unwanted fluorescence signal
- TauSeparation, TauScan. Separate fluorophores using lifetime-based information
- Dynamic Signal Enhancement
- Lighting basic detection package
- Navigator basic package, including LAS X stitching and LAS X Mark and Find
- Lambda scan
- Lambda-lambda scan
- Z intensity Compensation
- TauSense
- Application:
- Live tissue and fixed sample confocal imaging (analog mode or photon counting mode)
- Imaging with physiology experiment setup
- Confocal imaging to remove autofluorescence and coverslip reflection signals
- High resolution imaging down to 120nm in x and y, 200nm in z
- Stitching
- Excitation and emission spectral scanning
- FLIM-FRET